Poskytovaná péče
- Prevence
- V našich zubních ordinacích provádíme 2x ročně pravidelné vyšetření chrupu a dutiny ústní. Při prohlídce mohou být zhotoveny rentgenové snímky OPG nebo Bitewing, které zobrazí i skryté problémy.
- Dentální hygiena pro registrované pacienty
- Bude Vám odstraněn zubní plak, pigmenty a zubní kámen. Provedeme s Vámi nácvik správné péče o chrup včetně doporučení dentálních pomůcek ( mezizubní kartáčky, sólo kartáčky, dentální nit, klasický kartáček).
- Estetické výplně
- Zhotovujeme vysoce estetické kompozitní i skloionomerní výplně a dostavby zubů většího rozsahu z vysoce kvalitních materiálů v jedné návštěvě.
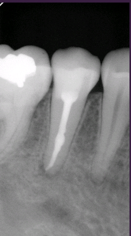
- Endodoncie
- Jedná se o jeden z nejsložitějších výkonů konzervační stomatologie. Životnost zubu je zcela ovlivněna technikou a kvalitou provedení daného ošetření. Proto v našich ordinacích používáme nejmodernější postupy ošetření kořenových kanálků. Standardní metody jsou zcela obsoletní a proto je svým pacientům nedoporučujeme, jelikož nelze zaručit dlouhodobě dobrou prognózu takto ošetřeného zubu.
Nadstandardní postup obsahuje:
Stanovení délky kořenového kanálku apexlokátorem Raypex 5 nebo RVG. Opracování kořenových kanálků systémem MTWO (přístrojem VDW Endo IT Professional) nebo systémem Reciproc (ošetření kanálků pouze jedním nástrojem). Plnění kořenových kanálků nadstandardními metodami, např. laterální kondenzace. - Protetika
- Zhotovujeme snímací i fixní náhrady zubů dle moderních metod, s ohledem na požadavky pacientů. Samozřejmostí jsou vyráběné celokeramické korunky a můstky, zhotovené z presovací keramiky nebo metodou CAD/CAM ze zirkonia. Ve spolupráci s našimi zubními techniky jsme schopni dosáhnout vynikajících estetických požadavků.
- Digitální panoramatický rentgen
- Přímo v našem stomatologickém centru zhotovujeme všem našim pacientům při vstupním vyšetření digitální panoramatický rentgen (OPG) nebo bite-wing. Běžné intraorální rentgenové snímky zhotovujeme rovněž digitálně (RVG).
- Extrakce
- Provádíme bezbolestné extrakce (vytržení) všech zubů, včetně zubů moudrosti (třetí stoličky) a menších chirurgických výkonů.
- Profesionální vybavení
- Vzhledem k poskytování komplexní stomatologické péče je naše centrum vybaveno třemi plně vybavenými ordinacemi. Zubní soupravy Planmeca, KaVo. Nadstandardní přístrojové vybavení VDW Endo IT Professional, VDW Raypex 5, VDW Reciproc, plně digitalizovaná pracoviště značky Dell. Rentgenové pracoviště, kde zhotovujeme snímky: Planmeca Pro One ( panoramatický RTG (OPG), bitewing, sinusy, čelistní klouby), Planmeca Dixi2 (intraorální snímky, bitewing)..
- Bezbolestné ošetření
- Některé stomatologické výkony mohou být pro pacienty méně či více bolestivé. Práh vnímání bolesti není u všech pacientů stejný. Naši lékaři však disponují prostředky, kterými můžou pacienta bolesti zbavit a ošetření tím zpříjemnit. V místním znecitlivění (lokální anestezie), je možné provádět bezbolestně nejen všechny typy chirurgického ošetření, ale i nepříjemné či bolestivé výkony, jako je ošetření hlubokých či krčkových zubních kazů nebo broušení zubů před zhotovením korunky nebo můstku.
